Root Canal Treatment in Guildford
Root Canal Treatment at Notley Dental Care is a means of saving a tooth that may be damaged by decay, fracture or infection. The purpose of the treatment is to restore the tooth and the surrounding tissue to health, relieving you of pain and infection while avoiding the need to have the tooth removed.
These procedures can be stress free as you can listen to a choice of music with our noise reducing Bose headsets.
Our Root Canal Treatment is available to patients in the Guildford and Godalming areas and across Surrey.
Root Canal Treatment is complex and often our patients have many questions. Please find below the answers to the most common questions asked about the procedure.
If you would like to know more, then please call the practice to arrange a Free Consultation.
What is Root Canal Treatment?
Endodontic treatment (root canal treatment) can be a way of saving a tooth damaged by fracture, infection or decay. It can restore the tooth to health, relieving both dental pain and infection. Without treatment the only other alternative is to have the infected tooth removed. Our in-house Endodontist (root canal specialist) Dr Ioana Pop is able to treat and restore the majority of Root Canal cases.
Endodontic treatment is the most cost-effective way to treat teeth with damaged pulp, and therefore a very popular treatment choice for our patients. It is usually less expensive than extraction and placement of a bridge or an implant. In the right hands Endodontic treatment has a very high success rate.
Root Canal Treatment
You may require root canal treatment if you have pain or swelling associated with your teeth. Sometimes the tooth may not even be hurting but your dentist may have identified an issue that will require addressing before a more serious problem arises. All root canal procedures at Notley Dental are performed by our Specialist Endodontist with microscope magnification.
Root Canal Re-treatment
Not all root canal treatments go according to plan. It is a complex and intricate procedure that requires years of experience and practice to master successfully. Teeth that have been root treated before may fail if the dentist could not fully clean all the canals, or if the tooth has an extra hidden canal. If this is the case then your root canal may require re-treatment.
Endodontic Microsurgery
In some cases it is not possible to save a tooth by performing traditional root canal treatment. This may be because there is a new crown present, or a post has been cemented into the root canal. In these situations, a different approach is needed. Using the latest advanced surgical techniques, our specialist, Dr Ioana Pop, can perform what’s known as Endodontic Microsurgery in order to try and save the tooth.
If you have Dental Pain?
Dental pain can take many forms and is not always easy to assess. At Notley Dental Care we can diagnose and treat dental pain, and our experienced Specialist Endodontist is dedicated to your care and wellbeing.
Is the Treatment Painful?
In the right hands using the correct anaesthetics root canal treatment will not cause you any discomfort. Some of our patients chose to have their treatment done under sedation.
How does it feel after Root Canal Treatment?
In most cases there will not be any discomfort after treatment. After your treatment we will provide you with precise care instructions to make your recovery as quick and as pain-free as possible.
Referral by your dentist
Your regular dentist can refer you to us alternatively you can contact us yourself directly. This may be because the case is particularly complex, or the dentist may feel that you require a specialist endodontist. Whether you are referred to us by your dentist, or you come to us through other means, we aim to provide you with the highest standard of care possible.
If you have any questions at all, our warm and friendly team will always be on hand to guide and support you through every moment of your time spent with us.
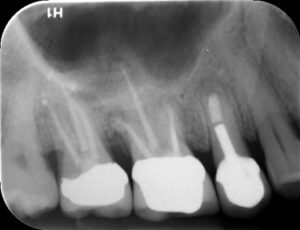
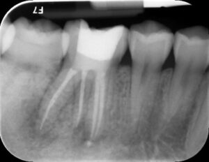
Before and Afters
Why is Root Canal Treatment needed?
If the tooth becomes infected, the infection may spread through the root canal system of the tooth. This may eventually lead to an abscess. If Root Canal Treatment (RCT) is not carried out, the infection will spread and the tooth may need to be taken out.
What does Root Canal Treatment involve?
The tooth will be examined and an x-ray will be taken, a local anaesthetic will be administered. An opening will be made in the crown of the tooth and small instruments will be used to clean the canals. Once the canals have been cleaned and shaped, they will be filled with a polyester synthetic root canal filling and sealer. To make your Root Canal Treatment successful at Notley Dental Care, we will use a dental microscope with magnification so that we get a better view.
Will the tooth need any more work after the treatment is finished?
Yes, the tooth will require a permanent restoration. This could range from a simple filling to a large build-up with posts and pins. The tooth is more brittle after a Root Canal Treatment and therefore is more susceptible to fracture. If the filling is large, the tooth may need a crown as well. A crown protects the tooth from breaking.
Will I need root canal treatment if I have Dental Pain?
Dental pain can take many forms and is not always easy to assess. At Notley Dental care, we have experience in diagnosing and treating dental pain.
Is Root Canal Treatment painful?
No. Local anaesthesia is used and it should feel no different to having an ordinary filling done. With modern techniques and varied local anaesthetic solutions, it is rare to have any sensation in the tooth during treatment. For the first few days after treatment, it is normal for your tooth to be sensitive to biting. This discomfort can be relieved with over-the-counter medications in order to control normal post-treatment discomfort.
Can I have sedation, pain-free dentistry?
We can also can offer intravenous sedation. This leaves you comfortable and unaware of your treatment, but you remain conscious and breathe on your own. You will need an adult to accompany you home and should plan ahead as you will not be able to drive for 24 hours after your treatment.
We have a dedicated sedation team, Sedation Solutions, that we have worked with for many years and together we provide pain-free procedures.
Can I have a second opinion about root canal treatment?
If you feel uncertain of a diagnosis or recommended therapy you can contact us for a Free Second Opinion Consultation.
What if I don't have Root Canal Treatment?
The alternative is to have the tooth out. Once the pulp is destroyed, it can't heal and it is not recommended to leave an infected tooth in the mouth. Although some people would prefer an extraction, it is usually best to keep as many natural teeth as possible.










