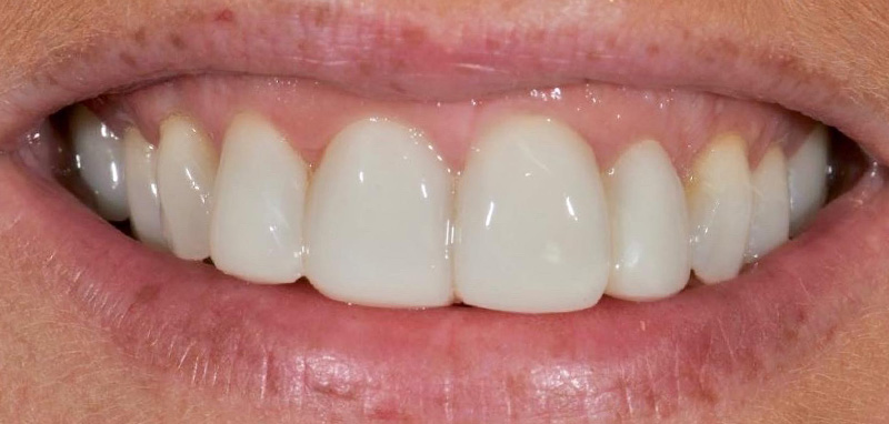
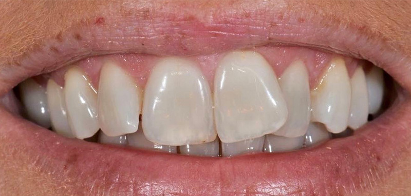
If you are not happy with your smile and the appearance of your teeth then Composite Bonding may be the right solution for you. So many patients come to have this done in preparation for weddings.
We can achieve amazing results with bonding, giving you the confidence to smile more with your new healthy-looking teeth.
Composite Bonding is a single-visit procedure capable of producing incredible results. This procedure, also known as Cosmetic Bonding, is an ideal option for anyone who has minor aesthetic flaws, such as small gaps between the teeth, chipped or worn edges. We can also create Composite Veneers that can totally transform the shape of the tooth and enhance your smile
Once the composite has been applied and designed, it is set using a curing light. Any final adjustments are made once the composite is firm and then you can see your new smile.
Our dentists are experienced in designing your new smile with composite bonding and are happy to see you for an initial FREE consultation.
Frequently asked questions
- Less invasive: Compared to veneers, bonding requires minimal removal of tooth structure.
- Quick and affordable: The procedure is usually completed in one appointment and is often less expensive than veneers.
- Natural-looking: Skilled dentists can create a natural-looking restoration that blends seamlessly with your existing teeth.
- Versatility: Bonding can address a variety of cosmetic issues.



