Dental implants in Godalming
For most people dental implants offer the best long-term solution to replace missing teeth. Designed to behave and look just like a natural tooth the implant fuses with the bone and then a porcelain crown is attached to your implant. This helps to create a seamless looking smile with full functionality.
We understand that the expertise and experience the clinician performing your treatment has, will significantly improve your comfort levels and aids in a swift recovery process. Our in-house oral surgeon is Dr Carl Manhem, a leading implant surgeon. Carl has been placing implants for more than 30 years and is also a former clinical lecturer at the Eastman Dental Institute.
Dr Manhem only uses the most acclaimed implant systems to ensure you receive the best quality treatment.
What are dental implants?
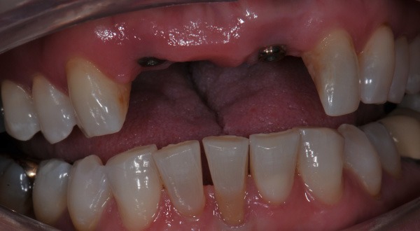
Dental implants are titanium root shaped posts, which are shaped like a screw and serve as a secure root for the new tooth. The porcelain crown is then fitted and will function as your ordinary teeth do when you are chewing, talking, and laughing. You won’t be able to notice any difference between your natural teeth and an implant.
The implants can also be used to support fixed bridges or dentures in cases of multiple missing teeth. However, if you require a whole arch replacement, we recommend All on 4.
What stages are involved?
At your initial consultation with our specialist, Dr Carl Manhem, he will discuss exactly what you want to achieve from the procedure and will be able to walk you through the process and how your end results should look.
During this appointment we may take colour photographs and digital x-rays and thereafter a personalised treatment plan and estimate will be sent to you.
Once booked, Dr Carl Manhem will start the procedure my placing the implants into the jaw under local anaesthetic, once in place the gum is stitched so that it will heal over the implant. Temporary teeth solutions may be available depending on the case.
The bone then grows round the implant to hold it firmly in place. This takes several months, and we advise patients to avoid chewing hard foods around that area.
You will then return to the surgery after around 4-6 months for placement of the final porcelain crown.
Why choose dental implants?
If you only have a single missing tooth, dental implants are a much less invasive way of filling the gap. Implants do not impact on any other teeth, unlike bridges which may require healthy teeth to be cut down. Missing teeth can drastically affect the way you speak, eat and smile. Over time, the gap may lead to changes in facial structure due to gum shrinkage and the gradual movement of surrounding teeth. Dental implants not only restore your smile, but they can also greatly improve your self-confidence and quality of life.
As an implant is an individual standing tooth you can look after it as you would your other teeth. You can floss, brush and clean as normal. Implants are made to be stable and supportive teeth for life, so there is no worry your restoration will fail.
Benefits of dental implants
- Secure - dental implants stay firmly in place and will not slip when you are eating or speaking and won’t become loose over time. They are held in place by the jawbone and can be more durable than your natural teeth.
- Aesthetic - implants look and feel just like natural teeth. You will be able to eat, drink and talk just as you did before, as well as show off a full smile.
- Effective - dental implants are a well-established, safe, and highly effective way of replacing one or more missing teeth in any part of the mouth.
- Supportive - implants help to support and sustain your facial structure and remaining natural teeth. They protect your gum and can be fitted with no detrimental effect on any existing healthy teeth.
- Innovative - implants use state-of-the-art digital dental technology, combined with the expertise of Dr Carl to create the next best thing to a natural tooth.
Are dental implants right for me?
The need for implants is dependent on the individual but if you think this might be the right choice for you, contact us to arrange a free implant consultation. From there we will be able to give you all your options and discuss any worries.
Book Free ConsultationFrequently asked questions?
Healthy gums and bone are essential to support implants. They will need maintenance in much the same way as natural teeth. Patients who want to have implants are encouraged to commit to an oral hygiene routine, including flossing, brushing and regular dental hygienists visits to help protect the supporting tissues.
As dental implant placement is a surgical procedure, it is preferable that patients have good overall general health. Dental implants are generally not recommended for younger patients with still-developing jaws. It also helps if the patient is not a heavy smoker, this is because smoking can slow down the healing process. We will thoroughly discuss your overall suitability for implant treatment at your initial consultation and it’s likely you will be suitable for the treatment.
Even patients who have lost significant bone volume can have dental implants, by using bone grafting or ‘All On Four’ techniques.
It is one of the most common concerns for people thinking about having an implant. When carried out by an experienced clinician, most dental implants are easy to place, taking only about 10-15 minutes to complete the surgical part of the treatment, (more complex cases may take longer).
Local anaesthetic is administered during dental implant surgery to ensure your comfort throughout the procedure, you won’t be able to feel a thing! We can also offer sedation which makes patients feel very comfortable, relaxed and you rarely remember much about the procedure afterwards.
Following the treatment, it is normal to experience some discomfort, which can be effectively managed with pain relief advised by your dentist.
With proper care, dental implants have the potential to last a lifetime. This means maintaining an excellent brushing and flossing routine, looking after your general health, and attending regular dental and hygienist appointments.
It's important to note that while the dental implant itself is designed for long-term durability, the crown or bridge it supports may require replacement over time due to the natural wear and tear that occurs. We recommend annual reviews with x-rays to check the bone levels around the implants.


